segunda-feira, 13 de fevereiro de 2012

Hemossiderose - fígado/Hemosiderosis - liver

                Pigmentos são substâncias coloridas,algumas das quais são constituintes normais das células(p.ex. melanina),enquanto outros são anormais e se acumulam nas células somente sob circunstâncias especiais.Podem ser exógenos(provenientes de fora do corpo) ou endógenos(sintetizados pelo próprio corpo – ex: hemossiderina)
               A hemossiderina é um pigmento granular ou cristalino amarelo a castanhado-dourado,derivado da hemoglobina,sendo a principal forma de armazenamento de ferro.O ferro é normalmente transportado por proteínas transportadoras específicas,as transferrinas.Nas células é armazenado em associação com uma proteína,a apoferritina,para formar micelas de ferritina(ela é um componente da maioria dos tipo celulares).Quando há um excesso local ou sistêmico de ferro,a ferritina forma grânulos de hemossiderina.
   Os excessos de ferro,locais ou sistêmicos,causam acúmulo de hemossiderina dentro das células.Quando há sobrecarga sistêmica de ferro,a hemossiderina pode se depositar em vários tecidos e órgãos,uma condição conhecida por hemossiderose.
Fonte : Robbins & Cotran - Patologia : Bases Patológicas das Doenças - 8ª ed.


Translation: Pigments are colored substances, some of which are normal constituents of the cell (for example melamine), while others are abnormal and accumulate in cells only under special circumstances. May be exogenous (from outside the body) or endogenous (synthesized by the body itself - eg hemosiderin)
                The hemosiderin pigment is a yellow granular or crystalline castanhado golden derived from hemoglobin, the main storage form of iron. Iron is usually transported by specific transporter proteins, the transferrins. Cells is stored in association with a protein, apoferritina to form micelles ferritin (it is a component of most cell types). When there is a local or systemic excess of iron, ferritin form hemosiderin granules.
    Excess iron, local or systemic, cause accumulation of hemosiderin within cells. When there is systemic iron overload, the hemosiderin can be deposited in various tissues and organs, a condition known as hemosiderosis.


 4x
Notar na imagem,parênquima hepático aparentemente normal,com presença de suas estruturas,como por exemplo as veias centro-lobulares(setas azuis).
Translation: Notice in the image, the liver parenchyma apparently normal, the presence of structures, such as veins center-lobular (blue arrows). 

 10x
Neste aumento,pode-se notara presença de um pigmento castanho a escuro(cabeças de seta),além de veias centro-lobulares(setas azuis). 

Translation: In this increase can be noticed the presence of the dark brown pigment (arrowheads) as well vein center-lobular (blue arrows).


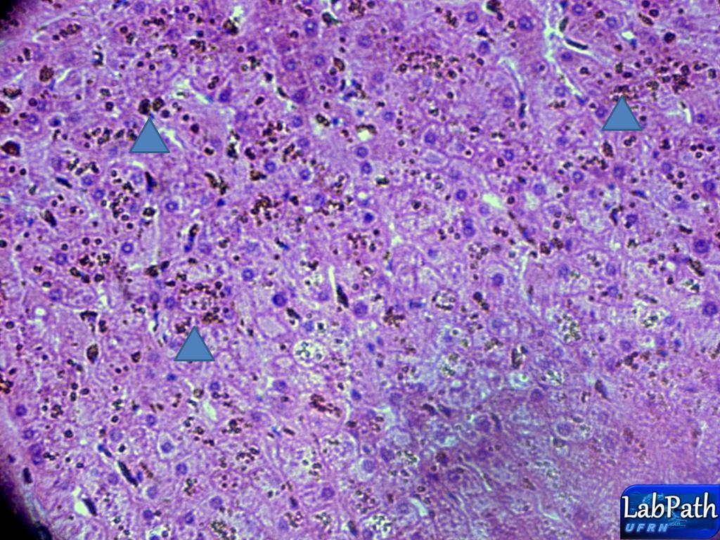
 40x
No aumento maior,nota-se a grande quantidade de hemossiderina no parênquima hepático(podendo-se notar pelo fato de se observar sua refringência ao mexer no micrometro) (cabeças de seta azul).

Translation: In larger increase, there is a large amount of hemosiderin in the liver parenchyma (can be noted by the fact of observing their refringence to move in micrometer) (blue arrowheads).

Nenhum comentário:

Postar um comentário

Invasão, metástase e angiogênsese da matriz extracelular.

Quando se instaura um processo maligno, onde ocorreu alterações em todos as camadas do epitélio, dependo do perfil e das características do ...